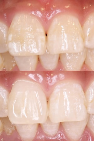
アイコン治療
Icon treatment
「アイコン治療」という治療方法で
歯を削らすに1回の治療でキレイにできます
歯を削らすに1回の治療でキレイにできます
前歯に大きなシミがあって目立つ
子どもの頃から歯の白いシミがコンプレックス
歯のシミ(ホワイトスポット)を治したい
矯正治療の装置を外したら歯の表面に白い斑点のようなシミができていた


