あが歯科医院

アクセス
診療予約

治療案内
Treatment guidance

あが歯科医院では治療計画を立てる時に以下のことに気をつけています

「自分がされたら嫌なことはしない」基本的な考えはここにあります。健康保険の場合は制約があり全てが思い通りにできるわけではありませんが可能な限り自分がしてほしい治療を行います。
治療計画は「同じ症例が自分の家族、親族であればどうするか?」をまず考えます。自分の子どもだったら、配偶者だったら、親だったら、祖父母だったら・・・年齢によってある程度治療計画は変わります。

  • 精密入れ歯・義歯
    精密入れ歯・義歯


    BPSシステムによって製作する義歯は、今までの義歯とは製作過程からまったく異なるフルオーダーメイドです。
  • 予防歯科
    予防歯科


    毎月100名以上の方が歯科衛生士の定期検診を受診するために来院する予防中心型の歯科医院です

虫歯治療

虫歯治療

当院では日本保存歯科学会が発行している「う蝕治療ガイドライン」に基づいて科学的根拠のある虫歯治療を心がけています
虫歯の大きさにより詰め物CR、インレー、オンレーから、被せ物クラウンまで対応しています。見た目が美しく高精度な自由診療もお選びいただけます。
【保険治療】
白いプラスチック、銀色の金属、CADCAM
【自費治療(税込)】
ハイブリッド(33,000円~)、陶材焼き付け鋳造冠[メタルボンド](110,000円~)、セラミック[オールセラミック、ジルコニア](55,000円~)、金色の金属(66,000円~)

歯周病治療

歯周病治療

十分な時間をとった丁寧なブラッシング指導で確実に歯周病をコントロールします
飲み薬や塗り薬が存在しない歯周病はプラークコントロールなくして改善することはありません。プラークコントロールの基本は歯磨きです。歯周病を治療するためのグッズの使用方法を歯科衛生士がお一人お一人に合わせて丁寧にご説明します。
【保険治療】
プラークコントロール指導、スケーリング、ルートプレーニング、歯周外科手術、PMTC

根管治療

根管治療

虫歯や歯周病、歯の破折などにより歯の神経が細菌感染して回復しない場合はラバーダムを使用して根管治療を行います
根管治療のポイントは無菌的に行うこと。そのため当院ではラバーダム防湿を行い歯の消毒をしてから根管治療を行います。
ラテックスフリーのラバーダムも用意していますのでゴムアレルギーの方はお申し出ください。
※保険治療のみ

抜歯

抜歯

できるだけ歯を保存しますが保存するデメリットの方が大きいと判断した場合は抜歯をお勧めします
どんな歯でも残すのがいいわけではありません。例えば歯周病が進み歯の周りに常に炎症があるような場合は全身の健康に影響を及ぼすことを考え抜歯したほうがいい場合があります。
※当院では保険治療の抜歯だけの対応となり、親知らずは口腔外科を紹介しております。

ホワイトニング

ホワイトニング

年齢とともにある程度歯は黄色くなってきます。ホワイトニングはご自分の歯そのものを白く若々しくします。着色除去の一歩先の白さです
当院ではより自然で透明感ある白さを獲得できるホームホワイトニングを採用しています。
【自費治療(税込)】ホームブリーチング(27,500円~)

インプラント

インプラント

インプラントは歯がなくなった場所に歯の代わりになるものを作成する治療です

【自費治療(税込)】上部構造は77,000円~、バットメント66,000円
※手術は紹介となります

矯正

歯並びは見た目の問題だけでなく発音、噛みやすさ、清掃しやすさにつながります。歯周病、虫歯のリスクを下げることができます
当院では虫歯が大きくかぶせるのが困難な症例の廷出のみ行なっています。全体的な歯並びの矯正治療は矯正専門医にご紹介いたします。
【自費治療(税込)】55,000円~
※困難症例は矯正専門医を紹介

こども歯ならび治療

プレオルソ

あが歯科医院では舌、口の周りの筋肉を正しく動かすトレーニング(MFT)を取り入れています(MFTは保険適応)
MFTで正しく筋肉を動かし正しい位置に永久歯が並ぶように誘導し、歯が並ぶ隙間が十分でない場合は拡大床を使用します。
その後、プレオルソを使用し永久歯がしっかり並ぶスペースを確保し理想的な位置に永久歯が生えてくるように誘導します。

こども歯ならび治療はこちら 

スポーツマウスガード

スポーツに怪我はつきものですがマウスガードを使用することにより口の怪我を減らすことができます
スポーツマウスガードは消耗品です。合わなくなったら作り替えなければ怪我の防止に役立ちません。常に口にあったマウスガードを使用していただきたいので当院では院内でマウスガードを作成し費用をかなり安く設定しています。
【自費治療(税込)】小学生(3,300円)、中学生~大学生(7,700円)、社会人(11,000円)、調整料(1回550円)

睡眠時無呼吸症候群

閉塞性睡眠時無呼吸症候群治療のための口腔内装置を作成しています
作成には医師との連携が必須です。

【上下一体型】健康保険適応
 利点 保険適応のため安価
    約1週間で作成可能
 欠点 薄いので破損することがある
    上下一体型なので調整が難しい
    歯ぎしりが強い方には不向き
    破損に対する保証は特にない

上下分離型のソムノデント アヴァント 【上下分離型】健康保険適応外・・・17万円(税別)
  利点 上下分離なので調整が容易
    周囲は硬く内面は柔らかいので歯に優しくフィットする
    前後的には固定されているが左右的には固定されていないので
    歯ぎしりのある方も使用可能
    ある程度の厚みがあるので壊れにくい(保証期間は3年)
 欠点 保険適応外なので高価
    アメリカで作成するため納期が4週間と時間がかかる
 調整が容易で破損しにくい上下分離型がグローバルスタンダード

日本睡眠歯科学会の「閉塞性睡眠時無呼吸に対する口腔内装置に関する診療ガイドライン2020」では、最適な下顎移動量決定後の口腔内装置は分離型よりも一体型を弱く推奨すると記載されていますので移動量を調整しやすい分離型で移動量を決定してからその位置で固定型にするのが最も良いと考えられます。
しかし治療の流れが煩雑になってしまいますので保険でできる一体型を優先して装着し問題があれば上下分離型に変更するのが現実的な治療の流れと考えます。

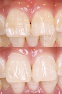
Icon(アイコン)治療

アイコン治療

アイコン治療は歯の表面を磨くだけでほとんど削りません。
また、ラミネートベニアと比較して費用がかなり安くできます。
写真の通り自然な仕上がりが可能です。

※写真前歯左側の1本のみ処置済み

詳しいアイコン治療はこちら 

あが歯科医院

【労災指定医療機関】
〒665-0022 宝塚市野上1-1-24 逆瀬川西口ビル2F
【 完全予約制 】 0797-71-0418 友だち追加  
地下駐車場完備 2台
阪急電車今津線「逆瀬川駅」より徒歩4分   
診療時間
9:30-12:30 ×
13:30-18:30 ×
※休診日:木・日・祝日
ページトップへ戻る